3DR Stereotactic System
Stereotaxy Simplified
Arc System
The design of the arc system allows the user to set values effortlessly.
Though the system is compact, it offers enough room to reach the target effectively.
The system is provided with different adapters making it compatible with a wide variety of stereotactic instruments.
Cross Hair attachment
Head Frame
The lightweight CT/MRI compatible head frame is equipped with nasal bridge for easy intubation.
Localizer System
The localizer frames are so designed that they are user friendly and aids in quick fixation.
The materials used in the construction are chosen carefully to throw minimal imaging artifacts.
Phantom Calibration System
3DR Phantom with its sleek design and foldable leg can be used to check the mechanical accuracy of the frame using a set of pre-determined targets.
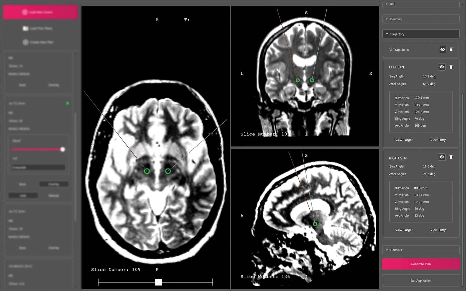
Surgical Planner
The surgical planner is an accurate, robust and dedicated software for use with 3DR Stereotactic system to make surgeon’s life easier.
Salient features
- The software is intuitive and helps in quick planning of the stereotactic procedure, be it trajectory planning. It also has image fusion capabilities for user convenience with different set of images.
- One can find array of features like choosing multiple targets / choosing multiple entry points.
- One can choose different target points while keeping the entry point constant.
- Allows planning in axial, sagittal or coronal views at the same time.
Ring Locking System
The new minimalistic ring locking mechanism with its user friendly design guarantees superior accuracy and maximal stability.
Accessories
For the stable fixation of head frame onto the patient , a range of accessories are available.
Head Post and Extensions

Head Posts are designed in different sizes to accommodate various head sizes in such a way that fixing of pins are accomplished with ease. Head Post extensions are provided for smaller head sizes.
Head Pins

Head pins are of two sizes. They are insulated , stable for fixation on the head and designed for minimum imaging artifacts.
Instrument tester
The system is provided with a tool to check for straightness of the stereotactic instruments to aid pre-operative verification.
Sterilization Cases